Posted on Wednesday, Dec 17, 2025 19:08
×[PR]上記の広告は3ヶ月以上新規記事投稿のないブログに表示されています。新しい記事を書く事で広告が消えます。
Posted on Friday, Nov 27, 2009 14:15
Tactile Research Group meeting
触覚なんていう狭い分野に
90年代からこんな会合があったのか・・・と
驚くべき研究会.
その存在を,先輩から聞いて
色々悩んだ挙句,単身渡米
参加して来ました.
もうリタイアしたような教授と,
今アツイ教授
そして,私のような駆け出しが
渾然一体となった会場.
おじいちゃん,起きてますか??みたいな
人達が
壇上に上ると熱弁をふるう.
みんな,元気!そして,アツイ!
現に自分も,
会合終了後,チェアのおじさんに捕まり
延々と,TRGの変遷,彼の研究,私のこれからの研究
お話しさせて頂きました.
すごくいい機会だった.
心から尊敬していた先達,
自分はこんな素晴らしい人をまだ知らんかったのか!と思わせる先達
その中で
私は,見るからに下っ端なので
みんなの温かいまなざしに囲まれていたのだけれど
ここに混ざれるかもしれない,という夢と
まだ決して混ざれるレベルでは無いのだ,という現実を
両方まざまざと見て
帰ってきました.
ボストンは綺麗な町でした.
本当に,良い旅だった.
余談になりますが
修士まで一緒に勉強していた同期が
今MITでPhDをやっていて
彼もすごく生き生きしていました.
「安心して,苦労せず明日が迎えられるようになったら黄信号」
彼の言っていた言葉を思い出します.
自分は,真摯に毎日を,生きているのだろうか?
PR
研究 : Comment (0) : Trackback ()
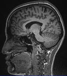
Posted on Friday, Nov 13, 2009 23:37
完全にナメてました.すいません.
というわけで,3TfMRIの被験者をやって参りました.
面白かったです.
MRIって,あのうるさい奴でしょ?位に思っていましたが
思ったほどうるさくなかったです.
変な先入観を持って申し訳ない.
発車前の,電車のプルルルルルル・・・という音
くらいのものでした.(もちろん,一時的に鳴るだけ)
まぁ,耳栓はしましたけど.
耳栓して,頭部固定して,
不快かと思いきやそうでもなく.
どちらかと言うと,
タスクが漢字テストだったんで
そちらにやっきになっていました.
そして,綺麗に撮れるものですね.
自分のやった3テラのものは,
診断用に一般使用されているものの倍
保険適用外ってやつで
流石に綺麗でした.

とはいえ
自分で見ても,なんのこっちゃですが.
学校 : Comment (0) : Trackback ()
Posted on Friday, Nov 13, 2009 13:23
来週参加する研究会は
たかが研究会,
参加費も,査読も存在しない,自由な集まり
なのだけれど
ひょっとしたら
自分にとっては,研究を始めてから最大の舞台になる.
と,勝手に思っている.
古臭い研究者だ,と人から言われる通り
自分は
昔の文献が好きだし
昔の研究者が好きだ.
一昔前までは,
(単に最新のもののサーベイ不足というのもあって)
参考にするも,戦うも,古いモノ相手が多かった.
来週の研究会は,簡単に言うと
触覚の,デバイスで無い人たち
原理・心理・生理の人たち
が,集まる.
その中に,昔からの研究者(も含めて新しい人まで)が集まる.
つまり,私にとってはスターの集まり,ということになる.
そこで,私はトークをする.来週の水曜には.
去年卒業していった,
私と研究分野が近かった(が,思想的には大いに異なった)先輩から
「いいなぁ,あの研究会に参加できるなんて
羨ましいよ, 君は日本の触覚Psychophysicsのホープだ」
と言われ,困ってしまった.
(私の研究分野は,心理物理=Psychophysicsと呼ばれている)
自分は,ただ
人一倍牛歩で頭の鈍い,一研究者にすぎない.
人の少ないマイナーな分野で戦っているだけの.
私に足りないのは
まず実績が足りないのはもちろんだが
本質的に足りないのは
自信なのだろうか,覚悟なのだろうか.
考えてしまう.
研究 : Comment (0) : Trackback ()
Posted on Wednesday, Nov 11, 2009 12:44
かれこれ1年ほど
少なくとも今年の3月より前から
ずっと同じ文章を書いている.
冷静になって自分の書いたものを見直してみると
(このプロセスは幾度も踏んだつもりでいるのだが)
如何に自分が頭を使わずに文章を書いているのか,が
明らかに見えてきてしまう.
特に使わなくていい場合,どころか
結構頑張れよというような時でも
全く自分でモノを考えていない事が,自分の場合多々ある.
その事を,知ってはいるつもりだったのだが
本気で直そうとしてこなかった結果が,この一年ということになる.
この文章を,私は,ずっと
ある先輩と一緒に,ちくちく直して来た.
自分の書いた文章でさえ,イントロだけ6時間も読んでいると吐きそうになるのに
先輩にとっては,(他人の書いたへたくそな文章など)
本当に本当に気の遠くなるような作業だったに違いない.
これは後輩と話をするようになって,やっと気付いた事なのだけれど
(なので,後輩くんたちに本当に感謝しているのだけれども)
どんなに優秀な子たち,頭のいい子たちでも
頭をつかう事を明らかに要求されている,わけではない場合において
こちら(先輩)の出方を,ただ,待っている事がある(ように見える).
少なくとも私の場合,完全にこのケースで
ここ,どう思う?
と,尋ねられると,
あ,そうですね,えーと...
と,考えるのだが
実際には頭が動いていない.
じゃあ,こうじゃないかな?
と,提案されるのを,ただ待っているのである.
この"空白"状態を見抜けるようになってから
自分が先輩側に立って話をするとき,
やばい,自分が何とかしなくちゃ
という思いと
これじゃあ,この後輩にとって意味が無い
という思いを抱えるようになった.
特に苛立ちや焦燥感に駆られるようなことは(自分も同類なので)無いのだけれど
少なくともどこかで,自分で考える力を手に入れないと
これは,教育
下手をすると洗脳になってしまい
少なくともディスカッションではなくなってしまう.
私は,自分自身が教育をする立場にあるとは到底思えないので
出来ればディスカッションを出来る相手が欲しい.
そういう意味では,この一年
辛抱強く教育を続けてくれた先輩には
全く頭が上がらない.
もし,その先輩が,
めんどくさいから早く終わらせよう9割としても
いつかはディスカッション相手になりはしまいか?と
1割でも思ってくれていたならば
自分は本気で頭を使う事を
少なくとも本気で試みなければいけないだろう.
大事なのは,完成された文章ではなく
文章を完成させる能力を手に入れる事
あるいはそこに近づく事
せめて近づこうとする事,なのだろう.
百聞は一見に如かず
百見は一考に如かず
百考は一行に如かず
百行は一功に如かず
自分はいつか,人に何かを
教えられるようになるのだろうか?
ちなみに
百功は一幸に如かず
らしいけれど.
研究 : Comment (0) : Trackback ()
Posted on Tuesday, Nov 10, 2009 22:08
全然関係ないけど,ケンタロウが好きだ.
ケンシロウじゃ無いですよ,念のため.
ケンタロウ 料理家。1972(昭和47)年、東京生まれ。
かの有名な小林カツ代さんの息子さんだと私が知ったのは
彼がとっくに有名になってからだった.
そうか,それで下の名前だけ,しかもカタカナなんだ.と
感心した.
うちの実家は商売をやっている.
母は専業主婦だったけれど,諸般の事情で働かざるを得なくなって
そっからじいちゃんの手伝いを始めた.
二人ともワンマンだからとても大変そうだったけれど
親の七光りとはよく言ったもんで
なんとかうちの家も持ち直した.
じいちゃんと母は苗字が違うから
知らない人からは,秘書や,果ては愛人さんと思われたり
していたらしい.
それでも,父娘だと思われていない方が,仕事がやりやすい事もある,と
母が言っていたのを覚えている.
親が偉いと,ちょっとばかし大変らしい.
そこでケンタロウの話に戻るけれども
お母さんと同じ分野で
お母さんと別のスタイルで
ひょっとしたら
お母さんと同じくらい目立っていて
凄いなぁ,と思う.
人知れず,苦労もあったかもしれないけれど
なんか,彼からはコンプレックスの匂いもしないし.
親の七光り,というよりも
歌舞伎みたいなものというか
“そういう環境”で育った,というのは,やっぱり
糧になるんじゃないかな,と
羨ましくも思うし,身につまされる部分もある.
やっぱり,環境は大事だ.
それにしても純粋に,
ケンタロウレシピは美味しいし簡単だし
あと,文章が面白い.
料理家になる前は,イラストレータだったらしいし
この人ひょっとして絵もうまいのかなぁ.
ついでに言うと,彼の料理のモットーは
「簡単でおいしくって、しゃれっ気があって現実的なもの」
こいつも相当素晴らしいと思う.
趣味 : Comment (0) : Trackback ()